本網站使用cookies為您提供更好的用戶體驗,繼續使用本網站表示您同意我們的
隱私權政策
同意
認識Full Arch
Full Arch全口重建
術前評估及手術流程
成功案例
服務項目
最新消息
常見問題
MENU
來電預約04-26358038
洽詢
CLOSE
認識Full Arch
Full Arch全口重建
術前評估及手術流程
成功案例
服務項目
最新消息
常見問題
Full Arch 案例分享一
首頁
成功案例
Full Arch案例
成功案例
Full Arch案例
植牙案例
陶瓷固定假牙案例
成功案例
Full Arch案例
植牙案例
陶瓷固定假牙案例
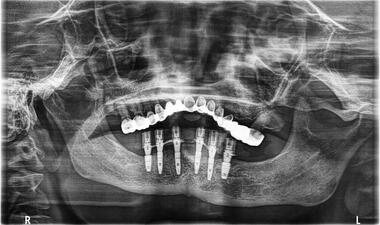
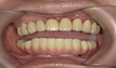
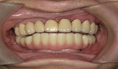
Full Arch術前術後 / 案例一
術中
下顎缺牙,植入六顆植體
術後
裝戴固定下顎Full Arch假牙
回上層