成功案例
左右尚有資訊| 編號 | 牙位缺牙窩洞 | 補骨粉 骨整合 | 植牙 |
|---|---|---|---|
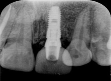
| 1031 #21 左上門牙 |
![]() |
![]() |
![]() |
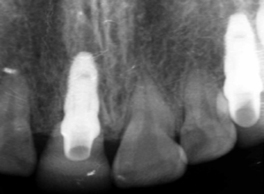
| 0703 #11#23 右上門牙+左上犬齒 |
![]() |
![]() |
![]() |
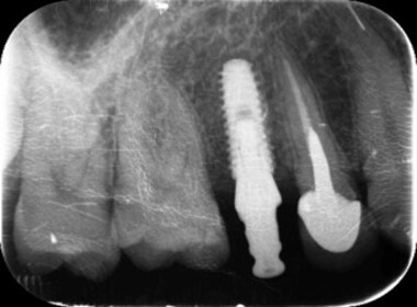
| 1127 #15 右上第二小臼齒 |
![]() |
![]() |
![]() |
| 0114 #16 右上第一大臼齒 |
![]() |
![]() |
![]() |
左右尚有資訊| 編號 | 牙位缺牙窩洞 | 補骨粉 骨整合 | 植牙 |
|---|---|---|---|
| 0112 #15 右上第二小臼齒 |
![]() |
![]() |
![]() |
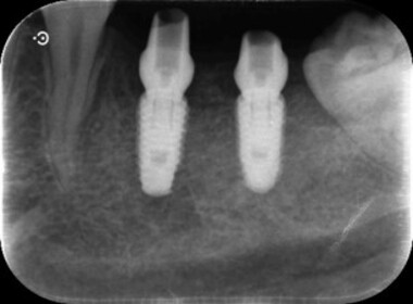
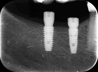
| 0709 #36#37 左下第一第二大臼齒 |
![]() |
![]() |
![]() |
| 0313 #36#37 左下第一第二大臼齒 |
![]() |
![]() |
![]() |
| 0220 #46#47 右下第一第二大臼齒 |
![]() |
![]() |
![]() |





















