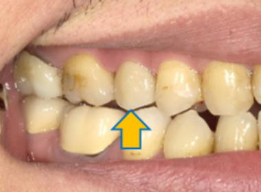
成功案例
上顎前牙/材質
左右尚有資訊
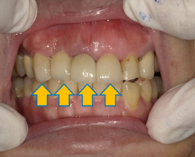
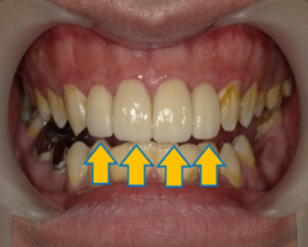
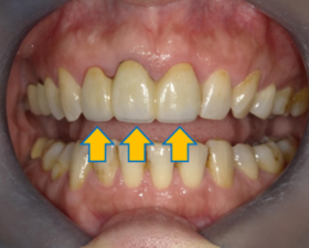
左右尚有資訊| e.Max (全瓷冠) | |||
|---|---|---|---|
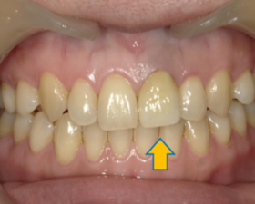
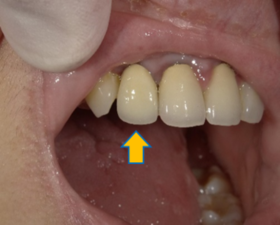
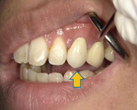
| 編號 | 1090930 #13~#21 | 1100412 #11#21 | 1091024 #12~#22 |
| 施作位置 | 右上犬齒~左邊門牙 | 兩顆門牙 | 右上側門牙~左上側門牙 |
| 案例圖片 |
![]() |
![]() |
![]() |
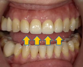
左右尚有資訊| 氧化鋯 | |||
|---|---|---|---|
| 編號 | 1101112 #12~#21 | 1101130 #12~#22 | 1110125 #21 |
| 施作位置 | 右上側門牙~左上門牙 | 右上側門牙~左上側門牙 | 左上門牙 |
| 案例圖片 |
![]() |
![]() |
![]() |
| PC | |||
|---|---|---|---|
| 編號 | 1100809 #12 | 1101025 #23 | 1090622 #13~#23 |
| 施作位置 | 右上側門牙 | 左上犬齒 | 右上犬齒~左上犬齒 |
| 案例圖片 |
![]() |
![]() |
![]() |
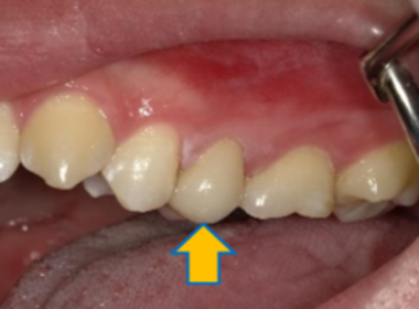
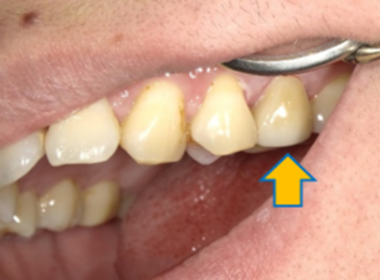
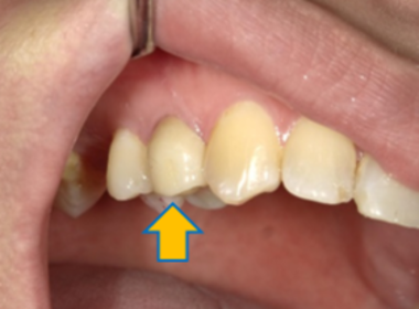
上顎後牙/材質
| e.Max (全瓷冠) | |||
|---|---|---|---|
| 編號 | 1100517 #15 | 1091225 #25 | 1100313 #25 |
| 施作位置 | 右上第二小臼齒 | 左上第二小臼齒 | 左上第二小臼齒 |
| 案例圖片 |
![]() |
![]() |
![]() |
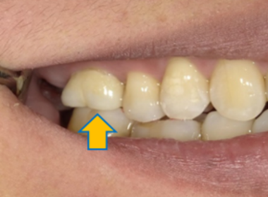
| 氧化鋯 | |||
|---|---|---|---|
| 編號 | 1090819 #14 | 1100915 #16 | 1100904 #17 |
| 施作位置 | 右上第一小臼齒 | 右上第一大臼齒 | 右上第二大臼齒 |
| 案例圖片 |
![]() |
![]() |
![]() |
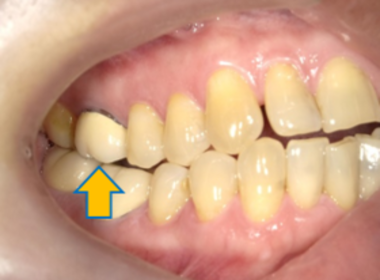
| PC | |||
|---|---|---|---|
| 編號 | 1100716 #17 | 1100927 #16 | 1121025 #16 |
| 施作位置 | 右上第二大臼齒 | 右上第一大臼齒 | 右上第一大臼齒 |
| 案例圖片 |
![]() |
![]() |
![]() |
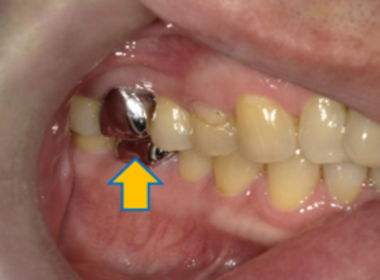
| FC | |||
|---|---|---|---|
| 編號 | 1100316 #17 | 1100910 #25 | 1100924 #16 |
| 施作位置 | 右上第二大臼齒 | 左上第二小臼齒 | 右上第一大臼齒 |
| 案例圖片 |
![]() |
![]() |
![]() |





















