
口腔缺牙的問題:
缺牙的後遺症:蛀牙、鄰牙傾斜、咬合不正(如下方x光片所標示)
當牙齒有咀嚼功能不良及外觀顏色不佳狀況發生時,
建議”您”應該做固定假牙的時候到了!
以下為恢復牙齒咀嚼功能及牙齒美觀性~~實際案例!
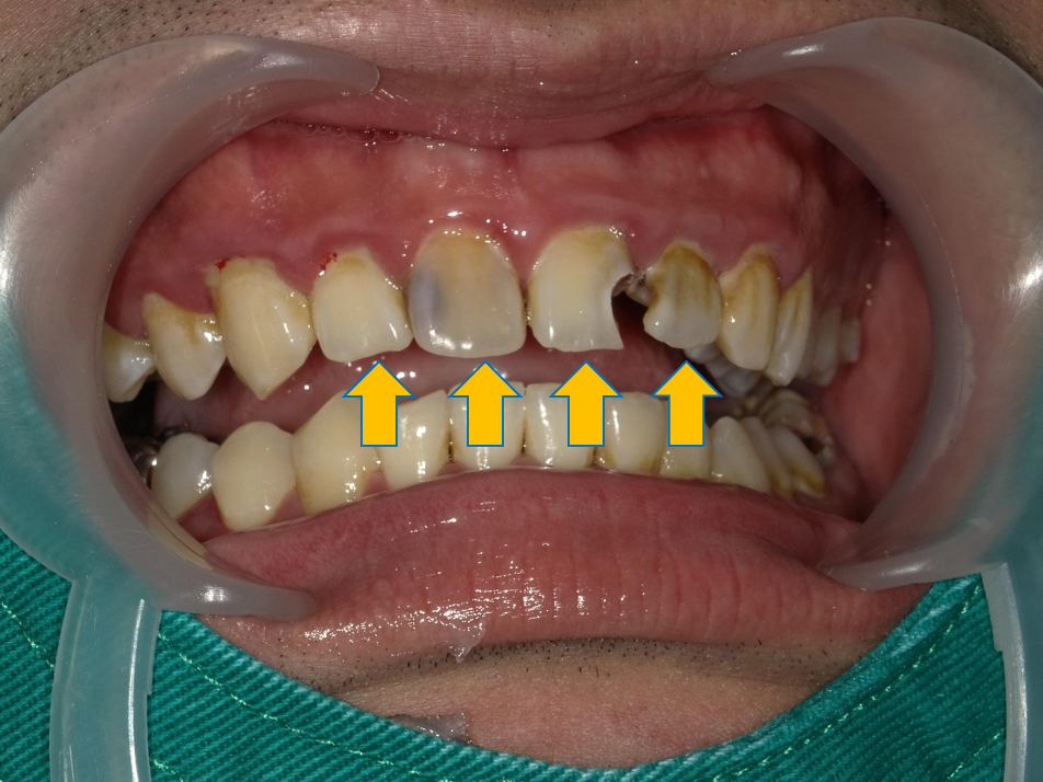
案例 1 術前(Before)
門牙部分缺損磨耗,造成咬合問題

門牙部分缺損磨耗,造成咬合問題

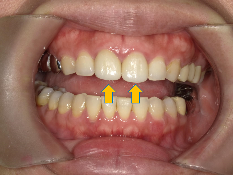
案例 1 術後(After)
門牙重建,改善咬合問題

門牙重建,改善咬合問題

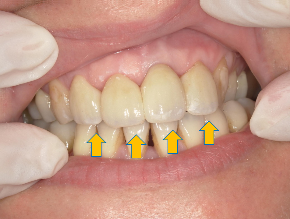
案例 2 術前(Before)
牙縫過大,舊有假牙不密合

牙縫過大,舊有假牙不密合

案例 2 術後(After)
門牙重建,改善牙縫過大問題
門牙重建,改善牙縫過大問題

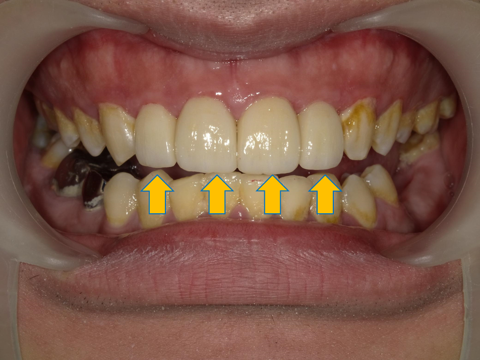
案例 3 術前(Before)
蛀牙及變色,影響咀嚼與美觀不佳

蛀牙及變色,影響咀嚼與美觀不佳

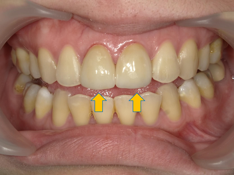
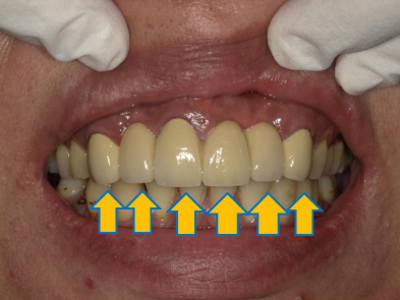
案例 3 術後(After)
門牙重建,恢復咀嚼功能與外型美觀

門牙重建,恢復咀嚼功能與外型美觀




此種材質不含任何金屬,堅硬、耐用,顏色自然,美觀性極佳。

此種材質為內金屬冠,外烤瓷,其透光度不佳,容易顯得顏色不自然。

整顆都是金屬,沒有裂開的問題,顏色較不美觀。